
奈良~全国の「歯科医師の指導」
院長の河原は、インプラント指導医として、後進の育成に取り組んでいます。



インプラント治療に関する疑問、不安、治療内容
について、 公認心理師が患者様の心をしっかり
受け止め、ご理解いただき、ご納得するまで寄り
添います。
0120-01-8448
平日 10~18時 土曜 10時~17時
「インプラントコーディネーター」と「歯科医師」が、
最適な治療プランをご提案いたします。
こちらの「動画」をぜひご視聴ください
「短期間」で口元を綺麗に改善
All-on-4という選択肢

All-on-4オールオン4とは?
「4本」のインプラントで
片顎全体の歯を支える治療です。
埋入したその日に仮歯が入るので
食事や会話もお出来になります。
All-on-4は、歯がボロボロで抜歯が必要な方や総入れ歯にお悩みの方にも適したインプラント治療です。片顎4本のインプラントで全体の歯を支えるため、従来のように多数のインプラントを埋め込む必要がありません。手術当日に仮歯を装着でき、すぐに見た目や噛む機能を回復できる点が大きな特長です。治療全体の期間は通常のインプラントに比べ短く、身体的・経済的な負担を軽減できます。

入れ歯のデメリットをすべて解消
All-on-4なら入れ歯のように外れる、ズレる、喋りづらいといったストレスがありません。

歯のコンプレックスを解消
お口全体の治療は費用も期間もかかります。All-on-4で経済的、時間的負担を軽減できます。

最短1日で噛めるように
オペをしたその日に仮歯が入るので、食事や会話も問題ありません。最小限のストレスで治療を行えます。

難症例も当院にお任せ
顎の骨量が少ない方でも骨造成や傾斜埋入治療可能なケースがあります。

一般的なインプラントよりも低価格
All-on-4なら片顎4本のインプラントでOK。失った数だけインプラントを埋入する必要はありません。

お口全体のバランスを整えます
患者さんの歯の色、形、全体のバランスを見ながら歯を製作するので、口元が若々しくなります。
一般的なインプラントと
All-on-4の「違い」とは?
どちらもインプラントを埋入しますが
「適応ケース」と「患者さんの負担」に大きな差があります。



20年以上のインプラント実績が高い評価を受け 「インプラント/オールオン4なら、翔デンタルクリニック」 という評価をいただいています。

院長の河原は、インプラント指導医として、後進の育成に取り組んでいます。

他院では対応できない難症例でも、当院なら対応することが可能です。

当院のインプラントにおける体制やスキルは、大学病院と同等レベルとなっています

これまで2,000名以上の 患者様の「声」を傾聴(2時間/回)してまいりました。 患者様に寄り添い共に治療のゴールを目指します

患者様の不安を取り除くために心理学に
基づいたカウンセリング(2時間/回)を実施。

2025年10月にヘルスコミュニケーションウィーク 2025inHongo, Tokyoにて研究発表。

インプラントコーディネーターとして歯科医師を 対象としたセミナー講師を担当。
患者様と歯科医師の「中立的な立場」です。
こちらの「動画」をぜひご視聴ください
BEAUTIFUL TEETH
論より証拠
ボロボロの状態でも、
インプラント/All-on-4
でこれだけ変わります。
しっかり噛めるだけではなく見た目も
美しく仕上げます。
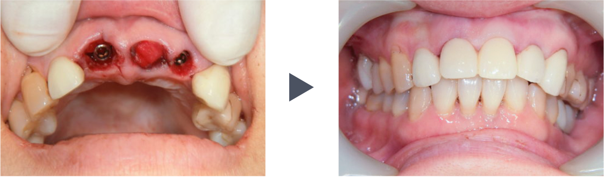
CASE 01抜歯即時荷重インプラント

50代女性_1日で仮歯が入る抜歯即時荷重のインプラント治療
上顎前歯部を抜歯し、インプラントを2本植立
なお、本人のご希望により、当日に仮歯を入れる抜歯即時荷重を実施
CASE 02インプラント

30代男性_交通事故で失った前歯の再建
インプラント治療で交通事故で欠損した前歯部を元通りに再建
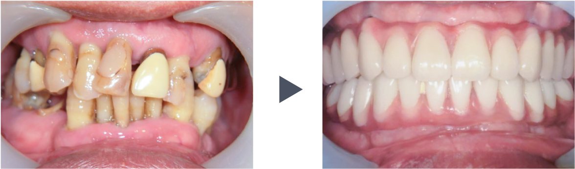
CASE 03All-on-4/6

50代男性_ボロボロの歯全体をAll-on-4、All-on-6で再建
抜歯の上、上顎はAll-on-6、下顎はAll-on-4にて治療
CASE 04インプラント

40代男性_欠損歯をインプラント治療で再建
インプラント治療(アストラテック)

奈良/県外から
一般的なインプラント/All-on-4との違いを感じてください
「静脈内鎮静法」で
痛み/恐怖心を軽減

当院では「静脈内鎮静法」を行っています。治療中はほぼ眠っている状態となるため、痛みや不安を気にせず安心して治療を受けられます。
このような方におすすめです

「短期治療」で
患者さんの負担を最小限に

ケースにもよりますが、当院の1本のインプラント埋入時間は平均5分。オペ時間が短いということはそれだけ患者さんの負担も最小限に抑えることができます。
このような方におすすめです

「1日」で噛めるように

一般的なインプラントは埋入してから顎の骨と結合するのを待つ期間がありますが、当院では、抜歯即時荷重法(1本~数本)やAll-on-4(全顎治療)によって即日に仮歯まで入れられます。
1日で噛めるようになるための術式

精密機器で「成功率向上」

治療の精度向上にはドクターの技術力は欠かせません。しかし、最新のデジタル機器を駆使することで、歯科医師の技術力がさらに活かされ、より正確でスピーディーな治療が可能になります。
代表的な精密機器

奈良県生駒市谷田町の歯医者、翔デンタルクリニック。奈良県外からも患者様が来院されます。患者様に安心して治療に臨んでいただけるよう、専用オペ室、5年保証、CT等の精密機器、歯科技工士との連携を実施しております。
クレジット、電子マネー、デンタルローンに対応。

デンタルローンは最大120回までの分割にも対応しています
CONSULTATION
初診無料
カウンセリング
インプラント治療に対して不安や疑問を
お持ちの患者様は多いと思います。
当院には圧倒的な症例数を誇るドクター。
そして、患者様の気持ちに寄り添う
インプラントコーディネーターが在籍しています。
まずはあなたの想いをお聴かせください。

奈良県生駒市の翔デンタルクリニックは、痛みの少ないインプラント治療を提供する専門医院です。当院では、静脈内鎮静法を用いることで、患者様がリラックスした状態で治療を受けられる環境を整えています。また、国家資格を持つ公認心理師が常駐しており、患者様の心のケアにも力を入れています。 治療に関する疑問や不安をしっかりとお伺いし、納得いただけるようサポートしています。さらに、最新のデジタル機器やCTスキャンを駆使し、精密な診断と治療計画を立てています。 当院では、インプラント治療の他にも、オールオン4、オールオン6、GBR(骨造成)など、さまざまな治療法を提供しています。 患者様一人ひとりの状態に合わせた最適な治療を提案し、笑顔と健康な口元を取り戻すお手伝いをしています。無料の初診カウンセリングも実施しており、レントゲン撮影や治療に関するご相談をお気軽にお受けいただけます。

